

Emergency & General Dentistry | Just Smiles Dentistry
Same-Day Appointments | Digital Diagnostics | Long-Term Oral Health
Dental pain can feel overwhelming. Uncertainty adds stress.
Just Smiles Dentistry responds with clarity, structure, and reassurance.
Urgent concerns receive prompt assessment. Routine visits strengthen long-term oral health. Every appointment follows a clear clinical pathway designed to relieve discomfort, restore function, and protect natural teeth.
Emergency care and preventive dentistry work together here. One team. One coordinated approach. Complete support.
Rapid assessment for urgent concerns
Thorough diagnosis using modern digital imaging
Immediate stabilisation when required
Preventive planning to reduce future emergencies
Care feels steady. Decisions feel informed. Outcomes feel secure.

Looking for an alternative to braces?
Clear Aligners at super care dental and cosmetics. This comfortable & invisible option lets you straighten your teeth with confidence and now affordable as well.
As it's for $29/week




Dental emergencies demand decisive care.
General dentistry builds lasting protection.
Just Smiles Dentistry integrates both seamlessly.
Severe tooth pain or sensitivity
Swelling or suspected infection
Broken, chipped, or cracked teeth
Lost fillings or crowns
Dental trauma
Comprehensive examinations
Routine cleans and hygiene monitoring
Early cavity detection
Gum health assessment
Minor restorative treatments
Every visit extends beyond symptom control. Thorough diagnosis guides thoughtful treatment.
Preventive planning strengthens long-term stability.

Dental situations can feel unsettling. Confidence in the provider changes everything.
Patients value:
Prompt response to urgent cases
Clear explanation supported by digital visuals
Transparent treatment planning
Calm clinical environment
Long-term preventive guidance
The focus stays on structured care, steady communication, and clinical precision.


At JJ Smiles Dental & Implant Centre, we make your Invisalign journey simple and stress-free. From the very first visit, you’ll receive a clear plan, expert advice, and all the essentials — including a 3D scan and digital smile preview — at no cost to you.
Our experienced team uses the latest technology to map out your treatment with accuracy and care. Every step is done in-house, so there are no outside referrals, delays, or guesswork. Just personalised support, honest guidance, and results that help you smile with confidence.

JJ Smiles Dental & Implant Centre is proudly led by Dr. Santosh Joy, a Sydney-trained prosthodontist with over 20 years of experience in cosmetic and restorative dentistry. Her deep expertise and patient-first approach have helped countless individuals transform their smiles with precision and care.
From your first scan to your final aligner check, every stage of your Invisalign journey is handled on-site. Dr. Santosh Joy and his team use advanced digital planning tools to create custom treatment plans tailored to your needs - all in a comfortable, consistent setting without the need for outside referrals.

A Clinic Built on Calm Leadership and Preventive Philosophy
Just Smiles Dentistry operates with one clear principle: deliver steady emergency care while protecting long-term oral health.
Both Ashfield and Kensington locations function under structured clinical systems designed for rapid response, accurate diagnosis, and consistent preventive support. Digital diagnostics guide decision-making. Clear communication shapes every appointment. Follow-up planning remains organised and proactive.
Emergency treatment feels controlled. General dentistry feels purposeful.
That culture starts with leadership and flows through the entire team.
Behind every calm emergency response and every thorough check-up stands a team that works in sync.

Dr. Nicole Saba leads Just Smiles Dentistry with over a decade of experience serving patients across Sydney. She believes every improved smile builds confidence and changes how someone feels about themselves. In emergency situations, her approach stays composed, decisive, and structured. In general dentistry, she focuses on prevention and long-term protection.

Dr. Ankita Pande brings clinical precision and patient-focused care to both urgent treatments and routine visits. She supports patients through clear explanations, steady treatment pacing, and thoughtful follow-up planning.

Hailey supports clinical procedures with professionalism and attentiveness. Patients appreciate her reassuring presence during both emergency treatments and preventive appointments.

With a Bachelor in Dental Surgery from the Philippines and over ten years assisting Dr. Saba, Scarlet bridges clinical understanding with patient coordination. Her experience strengthens both emergency efficiency and everyday care.

Michelle welcomes patients at the Ashfield office and ensures every visit runs smoothly from arrival to departure. During urgent situations, her calm coordination helps patients feel supported immediately.
Appointments may include:







Understanding builds trust. Clarity supports confidence.
Detailed examination identifies the root cause.

Discomfort is managed and urgent concerns addressed.

Preventive and restorative planning protects ongoing oral health.
Relief today. Stability tomorrow.

Same-day care and everything explained clearly.

Calm handling of my emergency and structured follow-up plan.

Professional, reassuring, and organised.
Individual experiences vary depending on oral health conditions.
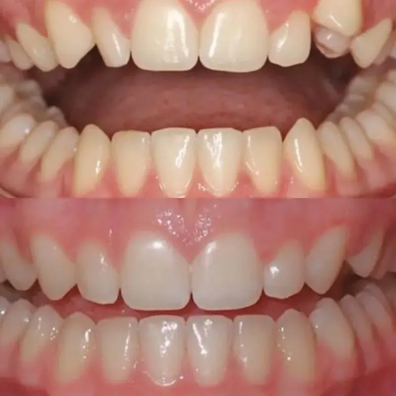
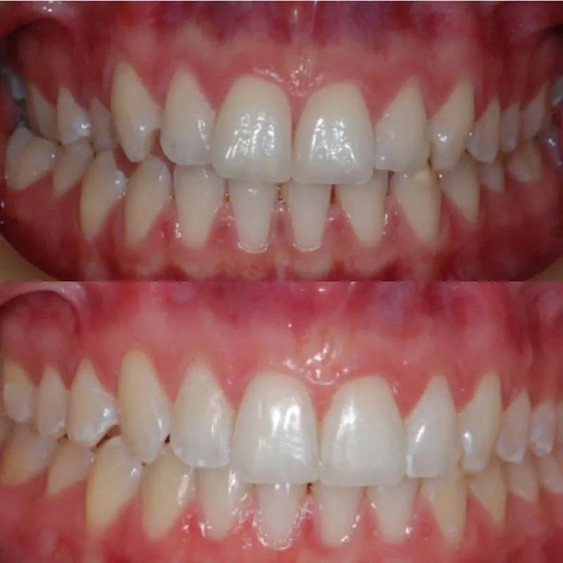
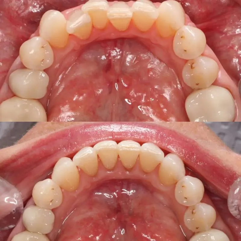
Check out before-and-after Invisalign results from JJ Smiles patients.
Our digital planning and expert care deliver straighter teeth and confident smiles — no metal, no guesswork.






Clear aligners correct alignment gradually, allowing the smile to improve without sudden or obvious changes.
Photos displayed with consent. Individual results vary.






Decisive response to urgent concerns
Prevention-focused philosophy
Digital precision in diagnosis
Structured follow-up systems
Family-friendly clinical approach
Emergency treatment resolves immediate discomfort.
Preventive dentistry strengthens long-term health. Both remain equally important.

Severe pain, swelling, bleeding, trauma, or sudden damage require prompt assessment.
Urgent cases are prioritised whenever possible.
All findings and options are discussed clearly before proceeding.
Care supports patients of all ages.
Some cases benefit from review visits to ensure proper healing and stability.
If discomfort has appeared or routine care is due, support is available.
D2/252 Anzac Parade Kensington, NSW, 2033
D2/252 Anzac Parade Kensington, NSW, 2033
Mon–Fri: 8:30am–5:00pm
Saturday: 8:30am–12:00pm
